teeth-jewelry ティースジュエリー

医院イメージ

ティースジュエリーとは

ティースジュエリーは、歯の表面に小さなストーンやパーツを装着する審美的な施術です。専用の接着材を用いて取り付けるため、歯を削る必要はなく、除去時にも元の歯に戻すことができます。結婚式やイベントなど特別なシーンだけでなく、日常にさりげない華やかさを加えたい方にも人気があります。

特徴・メリット

歯を傷めない:削らずに装着するため、歯質を損なう心配がありません。 短時間で完了:施術は30分程度で終了することが多く、ダウンタイムもありません。
デザインの自由度:スワロフスキーやダイヤモンドなど、好みに合わせたストーンを選択可能です。
取り外し可能:外したいときは専用器具で簡単に除去でき、歯に跡は残りません。

デザイン・選べるパーツ紹介

使用するパーツには、多彩な選択肢があり、当院でも約50種類ご用意しております。装着位置は前歯や犬歯が一般的ですが、部位によって印象が変わるため、カウンセリングでご希望に合わせたデザインをご提案します。
ご自身でお好みのジュエリーをお持ち込みいただくことも可能です。(形状や素材によってはお断りする場合があります。また、1ヶ月保証の対象外となります。)

費用、治療期間、通院回数、デメリット

費用 1歯11,000円(ジュエリーの数はいくつでも同じ料金です)
   追加1歯あたり+4,400円
治療期間・通院回数 1回30分〜1時間
デメリット 周辺歯面の清掃不良、口唇に当たる場合は違和感を感じる場合があります。

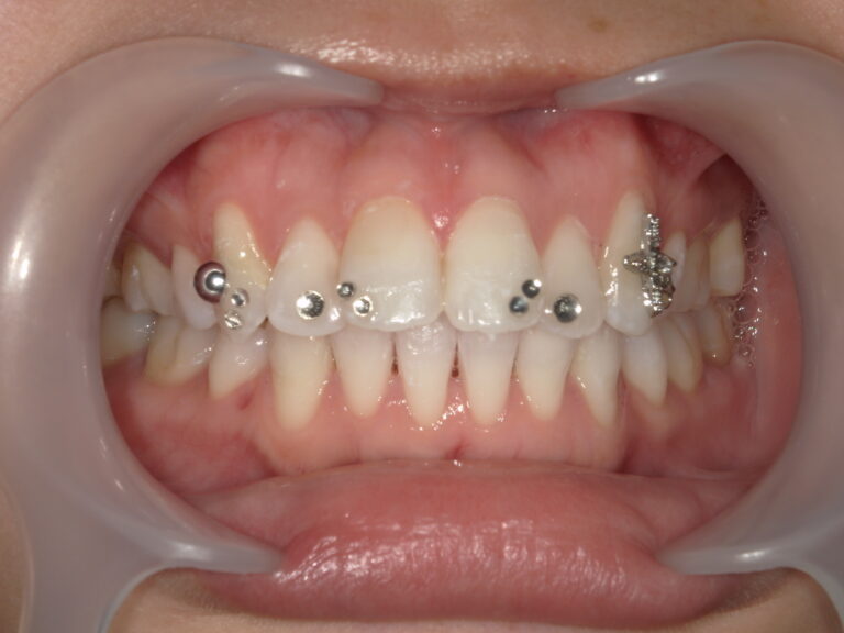
施術例紹介

6歯33,000円

6歯33,000円

6歯33,000円

6歯33,000円

8歯 41,800円

8歯 41,800円

4歯 24,200円

4歯 24,200円

施術の流れ

カウンセリング・デザイン選択:希望のストーンと装着部位を決定します。

歯面クリーニング:接着力を高めるため歯を清掃します。

装着:専用の接着材を用いてストーンを固定します。

仕上げ・確認:装着後の見た目を確認し、必要があれば微調整します。

注意点・アフターケア

・強い衝撃でストーンが外れる場合があります。
・定期的な歯科クリーニングと併用することで清潔に保てます。

よくあるご質問(FAQ)

どのくらい持ちますか?

個人差はありますが、数週間〜数か月程度持続します。2週間〜3ヶ月程度

当院のジュエリーを使用された場合は1ヶ月の保証がございます。
1ヶ月以内に脱離した場合の再装着は無料で行います。

食事や歯磨きは普段通りできますか?

通常通り可能ですが、硬い食べ物や強いブラッシングは避けてください。

外したい場合はどうなりますか?

専用器具で除去でき、歯は元の状態に戻ります。

人生を変える第一歩を、
今ここから

八丁堀駅から徒歩1分 自由診療専門歯科医院
※保険診療は行っておりません